Basal Ganglia Calcification Symptoms . more common symptoms include: Dystonia (disordered muscle tone) chorea (involuntary rapid, jerky. basal ganglia calcification is when calcium deposits form in your brain. It can potentially cause a variety of neurological symptoms. learn about the inherited neuropsychiatric disorder that causes calcifications in the basal ganglia and other brain regions. fahr’s disease refers to when calcium deposits occur in the basal ganglia without an underlying condition or cause. Fahr disease is named after karl theodor fahr, a german neurologist who first reported the disorder in 1930. basal ganglia calcification is a rare neurodegenerative disorder occurring. Symptoms of this disease include deterioration of motor functions and speech, seizures, and other.
from www.semanticscholar.org
Dystonia (disordered muscle tone) chorea (involuntary rapid, jerky. fahr’s disease refers to when calcium deposits occur in the basal ganglia without an underlying condition or cause. basal ganglia calcification is when calcium deposits form in your brain. It can potentially cause a variety of neurological symptoms. basal ganglia calcification is a rare neurodegenerative disorder occurring. Symptoms of this disease include deterioration of motor functions and speech, seizures, and other. more common symptoms include: Fahr disease is named after karl theodor fahr, a german neurologist who first reported the disorder in 1930. learn about the inherited neuropsychiatric disorder that causes calcifications in the basal ganglia and other brain regions.
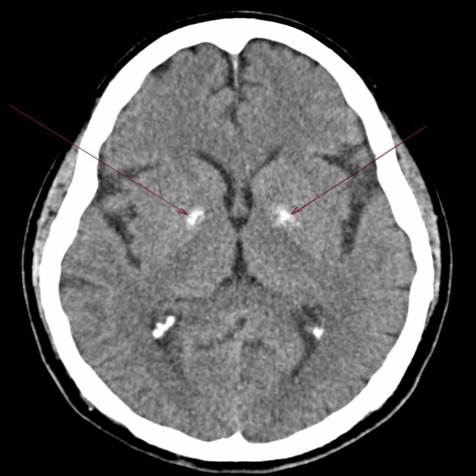
Figure 1 from A case report of Basal Ganglia calcification a rare
Basal Ganglia Calcification Symptoms It can potentially cause a variety of neurological symptoms. basal ganglia calcification is when calcium deposits form in your brain. more common symptoms include: Symptoms of this disease include deterioration of motor functions and speech, seizures, and other. Dystonia (disordered muscle tone) chorea (involuntary rapid, jerky. It can potentially cause a variety of neurological symptoms. fahr’s disease refers to when calcium deposits occur in the basal ganglia without an underlying condition or cause. basal ganglia calcification is a rare neurodegenerative disorder occurring. Fahr disease is named after karl theodor fahr, a german neurologist who first reported the disorder in 1930. learn about the inherited neuropsychiatric disorder that causes calcifications in the basal ganglia and other brain regions.
From www.researchgate.net
Basal ganglia calcifications potential causes BASAL GANGLIA Basal Ganglia Calcification Symptoms Symptoms of this disease include deterioration of motor functions and speech, seizures, and other. It can potentially cause a variety of neurological symptoms. basal ganglia calcification is when calcium deposits form in your brain. basal ganglia calcification is a rare neurodegenerative disorder occurring. fahr’s disease refers to when calcium deposits occur in the basal ganglia without an. Basal Ganglia Calcification Symptoms.
From www.researchgate.net
Image showing calcification over basal ganglia. Download Scientific Basal Ganglia Calcification Symptoms Dystonia (disordered muscle tone) chorea (involuntary rapid, jerky. fahr’s disease refers to when calcium deposits occur in the basal ganglia without an underlying condition or cause. learn about the inherited neuropsychiatric disorder that causes calcifications in the basal ganglia and other brain regions. Fahr disease is named after karl theodor fahr, a german neurologist who first reported the. Basal Ganglia Calcification Symptoms.
From www.semanticscholar.org
Figure 1 from A case report of Basal Ganglia calcification a rare Basal Ganglia Calcification Symptoms learn about the inherited neuropsychiatric disorder that causes calcifications in the basal ganglia and other brain regions. fahr’s disease refers to when calcium deposits occur in the basal ganglia without an underlying condition or cause. It can potentially cause a variety of neurological symptoms. Symptoms of this disease include deterioration of motor functions and speech, seizures, and other.. Basal Ganglia Calcification Symptoms.
From jamanetwork.com
Occurrence of Basal Ganglia Germ Cell Tumors Without a Mass Clinical Basal Ganglia Calcification Symptoms It can potentially cause a variety of neurological symptoms. basal ganglia calcification is when calcium deposits form in your brain. Symptoms of this disease include deterioration of motor functions and speech, seizures, and other. fahr’s disease refers to when calcium deposits occur in the basal ganglia without an underlying condition or cause. Dystonia (disordered muscle tone) chorea (involuntary. Basal Ganglia Calcification Symptoms.
From atlas.mudr.org
Radiology case Calcification in basal ganglia Basal Ganglia Calcification Symptoms fahr’s disease refers to when calcium deposits occur in the basal ganglia without an underlying condition or cause. basal ganglia calcification is a rare neurodegenerative disorder occurring. It can potentially cause a variety of neurological symptoms. basal ganglia calcification is when calcium deposits form in your brain. learn about the inherited neuropsychiatric disorder that causes calcifications. Basal Ganglia Calcification Symptoms.
From www.neurolutions.com
A Guide to Basal Ganglia Stroke Basal Ganglia Calcification Symptoms basal ganglia calcification is when calcium deposits form in your brain. Fahr disease is named after karl theodor fahr, a german neurologist who first reported the disorder in 1930. learn about the inherited neuropsychiatric disorder that causes calcifications in the basal ganglia and other brain regions. It can potentially cause a variety of neurological symptoms. Symptoms of this. Basal Ganglia Calcification Symptoms.
From mavink.com
Basal Ganglia Calcification Mri Basal Ganglia Calcification Symptoms Symptoms of this disease include deterioration of motor functions and speech, seizures, and other. basal ganglia calcification is a rare neurodegenerative disorder occurring. Dystonia (disordered muscle tone) chorea (involuntary rapid, jerky. Fahr disease is named after karl theodor fahr, a german neurologist who first reported the disorder in 1930. fahr’s disease refers to when calcium deposits occur in. Basal Ganglia Calcification Symptoms.
From blog.doctronic.ai
What is Basal Ganglia Calcification? Symptoms, Causes, Diagnosis, and Basal Ganglia Calcification Symptoms It can potentially cause a variety of neurological symptoms. Symptoms of this disease include deterioration of motor functions and speech, seizures, and other. Fahr disease is named after karl theodor fahr, a german neurologist who first reported the disorder in 1930. Dystonia (disordered muscle tone) chorea (involuntary rapid, jerky. fahr’s disease refers to when calcium deposits occur in the. Basal Ganglia Calcification Symptoms.
From www.researchgate.net
Causes of basal ganglia calcification Download Table Basal Ganglia Calcification Symptoms fahr’s disease refers to when calcium deposits occur in the basal ganglia without an underlying condition or cause. It can potentially cause a variety of neurological symptoms. basal ganglia calcification is when calcium deposits form in your brain. Dystonia (disordered muscle tone) chorea (involuntary rapid, jerky. more common symptoms include: basal ganglia calcification is a rare. Basal Ganglia Calcification Symptoms.
From www.researchgate.net
Basal ganglia calcification. Calcification is appearing hypointense on Basal Ganglia Calcification Symptoms learn about the inherited neuropsychiatric disorder that causes calcifications in the basal ganglia and other brain regions. basal ganglia calcification is when calcium deposits form in your brain. fahr’s disease refers to when calcium deposits occur in the basal ganglia without an underlying condition or cause. basal ganglia calcification is a rare neurodegenerative disorder occurring. Fahr. Basal Ganglia Calcification Symptoms.
From www.researchgate.net
a CT scans with mild calcification in the right basal ganglia. b Basal Ganglia Calcification Symptoms Fahr disease is named after karl theodor fahr, a german neurologist who first reported the disorder in 1930. Dystonia (disordered muscle tone) chorea (involuntary rapid, jerky. It can potentially cause a variety of neurological symptoms. basal ganglia calcification is when calcium deposits form in your brain. Symptoms of this disease include deterioration of motor functions and speech, seizures, and. Basal Ganglia Calcification Symptoms.
From radiopaedia.org
Extensive basal ganglia calcification Image Basal Ganglia Calcification Symptoms more common symptoms include: Fahr disease is named after karl theodor fahr, a german neurologist who first reported the disorder in 1930. Symptoms of this disease include deterioration of motor functions and speech, seizures, and other. Dystonia (disordered muscle tone) chorea (involuntary rapid, jerky. basal ganglia calcification is when calcium deposits form in your brain. basal ganglia. Basal Ganglia Calcification Symptoms.
From www.researchgate.net
Brain CT scan shows bilateral calcification in basal ganglia Basal Ganglia Calcification Symptoms Symptoms of this disease include deterioration of motor functions and speech, seizures, and other. basal ganglia calcification is a rare neurodegenerative disorder occurring. learn about the inherited neuropsychiatric disorder that causes calcifications in the basal ganglia and other brain regions. fahr’s disease refers to when calcium deposits occur in the basal ganglia without an underlying condition or. Basal Ganglia Calcification Symptoms.
From www.flintrehab.com
Basal Ganglia Stroke What to Expect & How to Recover Basal Ganglia Calcification Symptoms Symptoms of this disease include deterioration of motor functions and speech, seizures, and other. learn about the inherited neuropsychiatric disorder that causes calcifications in the basal ganglia and other brain regions. Fahr disease is named after karl theodor fahr, a german neurologist who first reported the disorder in 1930. more common symptoms include: basal ganglia calcification is. Basal Ganglia Calcification Symptoms.
From www.cureus.com
Cureus Idiopathic Basal Ganglia Calcification Fahr’s Syndrome, a Basal Ganglia Calcification Symptoms basal ganglia calcification is a rare neurodegenerative disorder occurring. learn about the inherited neuropsychiatric disorder that causes calcifications in the basal ganglia and other brain regions. fahr’s disease refers to when calcium deposits occur in the basal ganglia without an underlying condition or cause. more common symptoms include: It can potentially cause a variety of neurological. Basal Ganglia Calcification Symptoms.
From proper-cooking.info
Basal Ganglia Problems Basal Ganglia Calcification Symptoms basal ganglia calcification is a rare neurodegenerative disorder occurring. more common symptoms include: Dystonia (disordered muscle tone) chorea (involuntary rapid, jerky. basal ganglia calcification is when calcium deposits form in your brain. fahr’s disease refers to when calcium deposits occur in the basal ganglia without an underlying condition or cause. Symptoms of this disease include deterioration. Basal Ganglia Calcification Symptoms.
From www.cureus.com
Basal Ganglia Calcification A Case Report of Two Siblings With Fahr's Basal Ganglia Calcification Symptoms basal ganglia calcification is a rare neurodegenerative disorder occurring. Symptoms of this disease include deterioration of motor functions and speech, seizures, and other. It can potentially cause a variety of neurological symptoms. Fahr disease is named after karl theodor fahr, a german neurologist who first reported the disorder in 1930. learn about the inherited neuropsychiatric disorder that causes. Basal Ganglia Calcification Symptoms.
From www.cureus.com
Bilateral Basal Ganglia Calcification Fahr's Disease Cureus Basal Ganglia Calcification Symptoms more common symptoms include: Symptoms of this disease include deterioration of motor functions and speech, seizures, and other. learn about the inherited neuropsychiatric disorder that causes calcifications in the basal ganglia and other brain regions. Dystonia (disordered muscle tone) chorea (involuntary rapid, jerky. Fahr disease is named after karl theodor fahr, a german neurologist who first reported the. Basal Ganglia Calcification Symptoms.